Case 7 - A stroke of magic!

Author: Nish Cherian Reviewer: Nick Mani

A 45-year old cyclist is brought to ED after being hit by a car. He has severe pain in the right sided chest pain despite IV morphine with pre-hospital team. He is haemodynamically stable and has significant tenderness over his right ribs, but good air entry and bilateral lung sliding with no free fluid on POCUS. Multiple displaced lateral rib fractures are noted on CT.

You elect to perform an ultrasound-guided regional block to manage his pain:

  • Serratus anterior plane block

  • Rib fractures anterior and lateral (Not posterior ones- another type of block is required)

  • Performed within 6hrs of the same/similar block

    Infection over/around the injection site

    Open wound at the site of injection

    NB anticoagulation/potent antiplatellets are ONLY a relative contraindications (https://www.ra-uk.org/images/Documents/RAPAC_for_consultation.pdf)

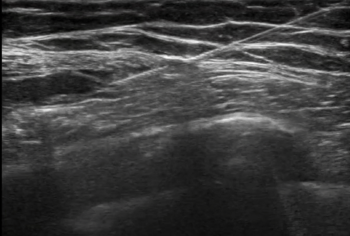
  • Green = latissimus dorsi
    Blue = serratus anterior
    Yellow = intercostal muscle
    White = rib
    Red = pleura

  • Either superficial or deep to serratus anterior muscle (in the clip, LA is being injected in the plane superficial to serratus)

  • Thoracodorsal artery

Case resolution

The patient’s pain was dramatically improved following the block and he was able to deep breathe, cough and mobilise.

Take home points

  • SAPB is very effective in patients with anterolateral multiple rib fractures and can also facilitate chest drain insertion

  • SAPB is safe and relatively easy to perform, even in the supine trauma patient in spinal precautions

  • The thoracodorsal artery lies more posterior in the plane between LD and SA - look for it during your pre-procedure scan (colour Doppler can help identify it)


Appendix

Previous
Previous

Case 8 - Lake of sorrows...

Next
Next

Case 6 - Drop in ocean, or ocean in a drop?